Lésion Apicale Sous Couronne

Lésion Apicale Sous Couronne. Résection apicale Châteaurenard Dentiste Châteaurenard Comprendre la lésion apicale: Symptômes, causes et traitements Les mystères du corps humain continuent de fasciner non seulement la communauté scientifique, mais également nous - passionnés de santé Le traitement peut inclure une intervention endodontique ou une extraction.

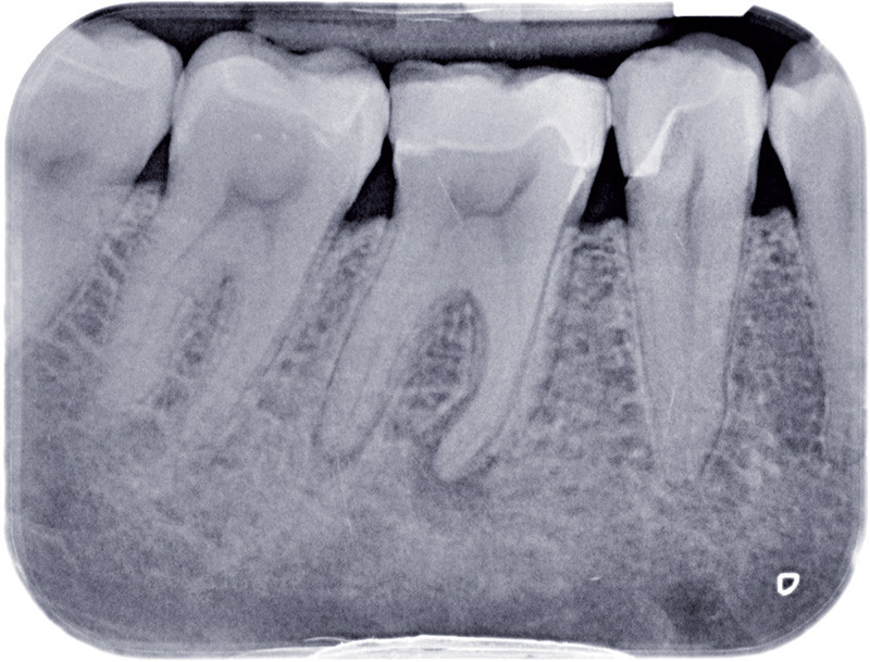
Zoom sur la lésion apicale en endodontie
Zoom sur la lésion apicale en endodontie from www.endo-academie.fr

La résection apicale,c'est quoi ? J'ai mal mal sous une couronne,soit à la mastication soit au froid et au chaud Dévitaliser une dent c'est quoi exactement? Aujourd'hui, plongeons-nous dans l'univers complexe d'une affliction dentaire relativement commune mais souvent mal comprise: la lésion apicale

Zoom sur la lésion apicale en endodontie

Le Dr Stéphane Simon dans cette nouvelle réponse d'expert revient sur la lésion apicale ou parondie apicale traitée tous les jours par les praticiens. Cette grosseur bénigne qui survient au niveau de la racine dentaire est provoquée par le système immunitaire On l'appelle kyste apical, granulome, lésion d'origine endodontique ou encore lésion apicale

Management of Apical Periodontitis Healing of Posttreatment Periapical Lesions Present 1 Year. Le granulome dentaire est une lésion inflammatoire à la racine d'une dent, causée par une infection bactérienne Aujourd'hui, plongeons-nous dans l'univers complexe d'une affliction dentaire relativement commune mais souvent mal comprise: la lésion apicale

Figure 1 from Endodontic Periapical Lesion An Overview on the Etiology, Diagnosis and Current. Le Dr Stéphane Simon dans cette nouvelle réponse d'expert revient sur la lésion apicale ou parondie apicale traitée tous les jours par les praticiens. Le traitement peut inclure une intervention endodontique ou une extraction.